The principle of blockface imaging
In SEM blockface imaging, specimens are processed using protocols very similar or identical to methods used for TEM sample preparation, but are imaged by scanning electron microscopy. Following fixation, samples are stained heavily with various heavy metals prior to embedding in resin. Samples are then mounted on aluminium SEM stubs either as ultrathin-sections placed on glass or plastic coverslips (rather than TEM grids) or the entire resin block can be fixed on a stub. Both specimen types need to be sputter-coated with a thin layer of carbon to avoid charging and are then imaged in the SEM in backscatter mode. Inverting the B/W contrast of the blockface images then produces results very similar to those obtained by TEM.
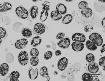
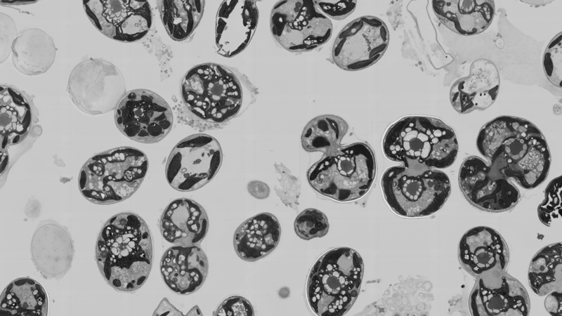
Green algae - Cosmarium subtumidum - Myriam Goudet, Howard Griffiths, Physiological Ecology Group, Dept. of Plant Sciences, University of Cambridge.
Map of a culture of green algae (Cosmarium subtumidum) revealing the morphology of the pyrenoids, the main actors of the algal carbon concentrating mechanism. Pyrenoids improve the efficiency of photosynthesis by delivering carbon dioxide to RuBisCo, an enzyme concentrated at the heart of this micro-compartment. Surrounded by a typical starch sheath, the pyrenoid is pervaded by an intricate network of microtubules (Myriam Goudet, Howard Griffiths, Physiological Ecology Group, Dept. of Plant Sciences, University of Cambridge).
Advantages of blockface
The advantages of SEM blockface imaging over TEM are apparent: it is possible to view areas much larger than would even fit onto a standard TEM grid and the specimen is free of grid bars, which always obscure part of the sample in TEM; it allows to gain an overview of a sample not possible by TEM and makes it easier to find a particular area of interest. However, the useful magnification of blockface imaging is presently limited to about 8,000 – 10,000x. The FEI MAPS software on our Verios 460 SEM can be set up for acquisition of image tiles in an automated fashion producing large specimen maps, which can be zoomed at any region of interest.
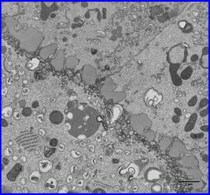
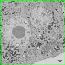
Drosophila melanogaster egg chamber - Marzia Munafo, Greg Hannon Group, Cancer Research UK, Cambridge.
Low magnification overview of the entire resin block; the area inside the green rectangle is shown in more detail below.
High-resolution map of a Drosophila melanogaster egg chamber: the area of the nurse cells to the left and the regular row of follicle cells to the right enclosing the developing oocyte. The areas in the coloured insets are shown in more detail below.
Nuclear pores in the area of the developping oocyte.
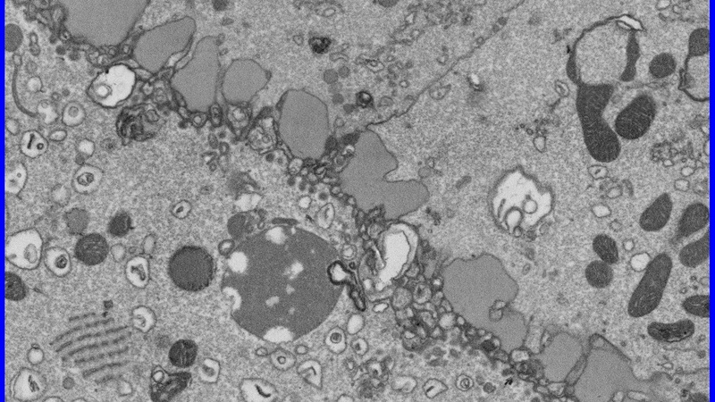
Follicle cells with large nuclei and mitochondria of various shapes.
Boundary between the developing oocyte (left) and follicle cells (right).





