Selected publications
Selected publications that enabled by CAIC imaging equipment, services and staff
2021
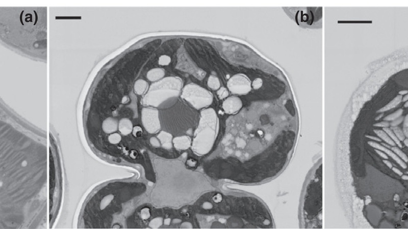
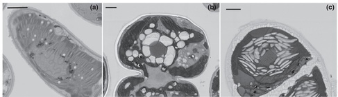
McGaley, Jennifer and Paszkowski, Uta. "Visualising an invisible symbiosis." Plants, People, Planet. 2021; 00: 1 -9. https://doi.org/10.1002/ppp3.10180
Wylot, M, Whittaker, DTE, Wren, SAC, Bothwell, JH, Hughes, L, Griffin, JL. "Monitoring apoptosis in intact cells by high‐resolution magic angle spinning 1H NMR spectroscopy". NMR in Biomedicine 2021https://doi.org/10.1002/nbm.4456
2020
Hugo Poplimont, Antonios Georgantzoglou, Morgane Boulch, Hazel A. Walker, Caroline Coombs, Foteini Papaleonidopoulou, Milka Sarris,
"Neutrophil Swarming in Damaged Tissue Is Orchestrated by Connexins and Cooperative Calcium Alarm Signals." Current Biology, 30, 2020, https://doi.org/10.1016/j.cub.2020.05.030
Hitchcock, Jessica R., et al. “Dynamic Architectural Interplay between Leucocytes and Mammary Epithelial Cells.” The FEBS Journal, vol. 287, no. 2, 2020, pp. 250–66, doi:10.1111/febs.15126.
Cassidy, Liam D., et al. “Temporal Inhibition of Autophagy Reveals Segmental Reversal of Ageing with Increased Cancer Risk.”Nature Communications, vol. 11, no. 1, 2020, p. 307, doi:10.1038/s41467-019-14187-x.
Needham, Lisa-Maria, et al. “ThX – a next-Generation Probe for the Early Detection of Amyloid Aggregates.” Chemical Science, vol. 11, no. 18, 2020, pp. 4578–83, doi:10.1039/C9SC04730A.
Poplimont, Hugo, et al. “Neutrophil Swarming in Damaged Tissue Is Orchestrated by Connexins and Cooperative Calcium Alarm Signals.” Current Biology, vol. 30, no. 14, 2020, pp. 2761-2776.e7, doi:10.1016/j.cub.2020.05.030.
Zhao, Yanyan, et al. “A Fluorescent Molecular Imaging Probe with Selectivity for Soluble Tau Aggregated Protein.” Chemical Science, vol. 11, no. 18, 2020, pp. 4773–78, doi:10.1039/C9SC05620C.
Goudet, Myriam M. M., et al. “Rubisco and Carbon‐concentrating Mechanism Co‐evolution across Chlorophyte and Streptophyte Green Algae.”New Phytologist, vol. 227, no. 3, 2020, pp. 810–23, doi:10.1111/nph.16577.
Alessandra Barreto da Silva, Michelle Miniter, William Thom, Rachel E. Hewitt, John Wills, Ravin Jugdaohsingh, Jonathan J. Powell. "Gastrointestinal absorption and toxicity of nanoparticles and microparticles: Myth, reality and pitfalls explored through titanium dioxide." Current Opinion in Toxicology, 19, pp112 - 120, 2020, https://doi.org/10.1016/j.cotox.2020.02.007.
Riedle, S., Wills, J. W., Miniter, M., Otter, D. E., Singh, H., Brown, A. P., Micklethwaite, S., Rees, P., Jugdaohsingh, R., Roy, N. C., Hewitt, R. E., Powell, J. J., "A Murine Oral‐Exposure Model for Nano‐ and Micro‐Particulates: Demonstrating Human Relevance with Food‐Grade Titanium Dioxide". Small 16, 2020https://doi.org/10.1002/smll.202000486
Wills, J.W., Robertson, J., Summers, H.D., Miniter, M., Barnes, C., Hewitt, R.E., Keita, Å.V., Söderholm, J.D., Rees, P. and Powell, J.J. (2020), "Image‐Based Cell Profiling Enables Quantitative Tissue Microscopy in Gastroenterology". Cytometry, 97: 1222-1237 2020. https://doi.org/10.1002/cyto.a.24042
Amberley D. Stephens, Meng Lu, Ana Fernandez-Villegas, and Gabriele S. Kaminski Schierle. "Fast Purification of Recombinant Monomeric Amyloid-β from E. coli and Amyloid-β-mCherry Aggregates from Mammalian Cells." ACS Chemical Neuroscience 2020 11 (20) https://doi.org/10.1021/acschemneuro.0c00300
2019
Inavalli, V. V. G. Krishna, et al. “A Super-Resolution Platform for Correlative Live Single-Molecule Imaging and STED Microscopy.”Nature Methods, vol. 16, no. 12, 2019, pp. 1263–68, doi:10.1038/s41592-019-0611-8.
Yung, Hong Wa, et al. “Noncanonical Mitochondrial Unfolded Protein Response Impairs Placental Oxidative Phosphorylation in Early-Onset Preeclampsia.” PNAS, vol. 116, no. 36, Sept. 2019, pp. 18109–18, doi:10.1073/pnas.1907548116.
Rees, P., Wills, J.W., Brown, M.R. et al. The origin of heterogeneous nanoparticle uptake by cells. Nat Commun 10, 2341 (2019). https://doi.org/10.1038/s41467-019-10112-4
Bělín, Jakub, et al. “Arrays of Dark Optical Traps on a Toroidal Surface.” Physical Review A, vol. 99, no. 1, Jan. 2019, p. 013841, doi:10.1103/PhysRevA.99.013841.
Sheard, Jonathan J., et al. “Optically Transparent Anionic Nanofibrillar Cellulose Is Cytocompatible with Human Adipose Tissue-Derived Stem Cells and Allows Simple Imaging in 3D.” Stem Cells International, vol. 2019, Oct. 2019, pp. 1–12, doi:10.1155/2019/3106929.
Itakura, Alan K., et al. “A Rubisco-Binding Protein Is Required for Normal Pyrenoid Number and Starch Sheath Morphology in Chlamydomonas Reinhardtii.” PNAS, vol. 116, no. 37, Sept. 2019, pp. 18445–54, doi:10.1073/pnas.1904587116.
Attardi, Andrea, et al. “Correction: Neuromesodermal Progenitors Are a Conserved Source of Spinal Cord with Divergent Growth Dynamics (Doi: 10.1242/Dev.166728).” Development, vol. 146, no. 2, Jan. 2019, p. dev175620, doi:10.1242/dev.175620.
Hwang, Ming‐Shih, et al. “MAVS Polymers Smaller than 80 Nm Induce Mitochondrial Membrane Remodeling and Interferon Signaling.” The FEBS Journal, vol. 286, no. 8, Apr. 2019, pp. 1543–60, doi:10.1111/febs.14772.
Neumann, Björn, et al. “Metformin Restores CNS Remyelination Capacity by Rejuvenating Aged Stem Cells.” Cell Stem Cell, vol. 25, no. 4, Oct. 2019, pp. 473-485.e8, doi:10.1016/j.stem.2019.08.015.
McMurran, Christopher E., et al. “The Microbiota Regulates Murine Inflammatory Responses to Toxin-Induced CNS Demyelination but Has Minimal Impact on Remyelination.” PNAS, vol. 116, no. 50, Dec. 2019, pp. 25311–21, doi:10.1073/pnas.1905787116.
Ströhl, Florian, and Clemens F. Kaminski. “A Concept for Single-Shot Volumetric Fluorescence Imaging via Orthogonally Polarized Excitation Lattices.” Scientific Reports, vol. 9, no. 1, Dec. 2019, p. 6425, doi:10.1038/s41598-019-42743-4.
Zacharioudaki, Evanthia, et al. “Mi-2/NuRD Complex Protects Stem Cell Progeny from Mitogenic Notch Signaling.” ELife, vol. 8, Jan. 2019, doi:10.7554/eLife.41637.
Falo-Sanjuan, Julia, et al. “Enhancer Priming Enables Fast and Sustained Transcriptional Responses to Notch Signaling.” DevelopmentalCell, vol. 50, no. 4, Aug. 2019, pp. 411-425.e8, doi:10.1016/j.devcel.2019.07.002.
Coombs, Caroline, et al. “Chemokine Receptor Trafficking Coordinates Neutrophil Clustering and Dispersal at Wounds in Zebrafish.” NatureCommunications, vol. 10, no. 1, Dec. 2019, p. 5166, doi:10.1038/s41467-019-13107-3.
Müller, Karin H., et al. “Poly(ADP-Ribose) Links the DNA Damage Response and Biomineralization.” Cell Reports, vol. 27, no. 11, June 2019, pp. 3124-3138.e13, doi:10.1016/j.celrep.2019.05.038.
2018
van der Wateren, Ingrid M., et al. “C-Terminal Truncation of α-Synuclein Promotes Amyloid Fibril Amplification at Physiological PH.” ChemicalScience, vol. 9, no. 25, 2018, pp. 5506–16, doi:10.1039/C8SC01109E.
Urbano, Jose M., et al. “Suppression of Epithelial Folding at Actomyosin-Enriched Compartment Boundaries Downstream of Wingless Signalling in Drosophila.” Development, vol. 145, no. 8, Apr. 2018, p. dev155325, doi:10.1242/dev.155325.
McColl, James, et al. “4D Imaging Reveals Stage Dependent Random and Directed Cell Motion during Somite Morphogenesis.” ScientificReports, vol. 8, no. 1, Dec. 2018, p. 12644, doi:10.1038/s41598-018-31014-3.
Gomez-Lamarca, Maria J., et al. “Activation of the Notch Signaling Pathway In Vivo Elicits Changes in CSL Nuclear Dynamics.” DevelopmentalCell, vol. 44, no. 5, Mar. 2018, pp. 611-623.e7, doi:10.1016/j.devcel.2018.01.020.
Christodoulou, Neophytos, et al. “Sequential Formation and Resolution of Multiple Rosettes Drive Embryo Remodelling after Implantation.” Nature Cell Biology, vol. 20, no. 11, Nov. 2018, pp. 1278–89, doi:10.1038/s41556-018-0211-3.
Turner-Bridger, Benita, et al. “Single-Molecule Analysis of Endogenous β-Actin MRNA Trafficking Reveals a Mechanism for Compartmentalized MRNA Localization in Axons.” PNAS, vol. 115, no. 41, Oct. 2018, pp. E9697–706, doi:10.1073/pnas.1806189115.
Sang, Jason C., et al. “Direct Observation of Murine Prion Protein Replication in Vitro.” Journal of the American Chemical Society, vol. 140, no. 44, Nov. 2018, pp. 14789–98, doi:10.1021/jacs.8b08311.
Rehman, Sohaib Abdul, et al. “Maximizing the Field of View and Accuracy in 3D Single Molecule Localization Microscopy.” Optics Express, vol. 26, no. 4, Feb. 2018, p. 4631, doi:10.1364/OE.26.004631.
Roth, Ronelle, et al. “A Rice Serine/Threonine Receptor-like Kinase Regulates Arbuscular Mycorrhizal Symbiosis at the Peri-Arbuscular Membrane.” NatureCommunications, vol. 9, no. 1, Dec. 2018, p. 4677, doi:10.1038/s41467-018-06865-z.
Maier, Theresa, et al. “Zinc Delivery from Non-Woven Fibres within a Therapeutic Nipple Shield.” International Journal of Pharmaceutics, vol. 537, no. 1–2, Feb. 2018, pp. 290–99, doi:10.1016/j.ijpharm.2017.12.042.
Boukhatmi, Hadi, and Sarah Bray. “A Population of Adult Satellite-like Cells in Drosophila Is Maintained through a Switch in RNA-Isoforms.” ELife, vol. 7, Apr. 2018, doi:10.7554/eLife.35954.
2017
Theodorou, Ioannis G., et al. “Silver Nanowire Particle Reactivity with Human Monocyte-Derived Macrophage Cells: Intracellular Availability of Silver Governs Their Cytotoxicity.” ACS Biomaterials Science & Engineering, vol. 3, no. 10, Oct. 2017, pp. 2336–47, doi:10.1021/acsbiomaterials.7b00479.
Palzenberger, Elisabeth, et al. Discovery of Rare Haplotypes by Typing Millions of Single-Molecules with Bead Emulsion Haplotyping (BEH). 2017, pp. 273–305, doi:10.1007/978-1-4939-6750-6_14.
Mok, Gi Fay, et al. “4D Visualisation and Analysis of Somite Morphogenesis in Live Embryos Using Multi-Photon Microscopy.” Mechanisms of Development, vol. 145, July 2017, p. S71, doi:10.1016/j.mod.2017.04.164.
Eldred, Megan K., et al. “Self-Organising Aggregates of Zebrafish Retinal Cells for Investigating Mechanisms of Neural Lamination.” Development, vol. 144, no. 6, Mar. 2017, pp. 1097–106, doi:10.1242/dev.142760.
Kartanas, Tadas, et al. “Enhanced Quality Factor Label-Free Biosensing with Micro-Cantilevers Integrated into Microfluidic Systems.” Analytical Chemistry, vol. 89, no. 22, Nov. 2017, pp. 11929–36, doi:10.1021/acs.analchem.7b01174.
Call, Toby P., et al. “Platinum-Free, Graphene Based Anodes and Air Cathodes for Single Chamber Microbial Fuel Cells.” Journal of Materials Chemistry A, vol. 5, no. 45, 2017, pp. 23872–86, doi:10.1039/C7TA06895F.
Antonio, Ligia S., et al. “The Effect of Fluoride on the Structure, Function, and Proteome of a Renal Epithelial Cell Monolayer.” Environmental Toxicology, vol. 32, no. 4, Apr. 2017, pp. 1455–67, doi:10.1002/tox.22338.
Perni, Michele, et al. “Delivery of Native Proteins into C. Elegans Using a Transduction Protocol Based on Lipid Vesicles.” Scientific Reports, vol. 7, no. 1, Dec. 2017, p. 15045, doi:10.1038/s41598-017-13755-9.
Teplensky, Michelle H., et al. “Temperature Treatment of Highly Porous Zirconium-Containing Metal–Organic Frameworks Extends Drug Delivery Release.” Journal of the American Chemical Society, vol. 139, no. 22, June 2017, pp. 7522–32, doi:10.1021/jacs.7b01451.
Onelli, Olimpia D., et al. “Development of Structural Colour in Leaf Beetles.” Scientific Reports, vol. 7, no. 1, Dec. 2017, p. 1373, doi:10.1038/s41598-017-01496-8.
Wardill, Trevor J., et al. “A Novel Interception Strategy in a Miniature Robber Fly with Extreme Visual Acuity.” Current Biology, vol. 27, no. 6, Mar. 2017, pp. 854–59, doi:10.1016/j.cub.2017.01.050.
2016
Huefner, Anna, et al. “Characterization and Visualization of Vesicles in the Endo-Lysosomal Pathway with Surface-Enhanced Raman Spectroscopy and Chemometrics.” ACS Nano, vol. 10, no. 1, Jan. 2016, pp. 307–16, doi:10.1021/acsnano.5b04456.
Chappell, Joel, et al. “Extensive Proliferation of a Subset of Differentiated, yet Plastic, Medial Vascular Smooth Muscle Cells Contributes to Neointimal Formation in Mouse Injury and Atherosclerosis Models.” Circulation Research, vol. 119, no. 12, Dec. 2016, pp. 1313–23, doi:10.1161/CIRCRESAHA.116.309799.
Broadhead, Matthew J., et al. “PSD95 Nanoclusters Are Postsynaptic Building Blocks in Hippocampus Circuits.” Scientific Reports, vol. 6, no. 1, Apr. 2016, p. 24626, doi:10.1038/srep24626.
Boncel, Sławomir, et al. “In Vitro Targeting and Selective Killing of T47D Breast Cancer Cells by Purpurin and 5-Fluorouracil Anchored to Magnetic CNTs: Nitrene-Based Functionalization versus Uptake, Cytotoxicity, and Intracellular Fate.” ACS Biomaterials Science & Engineering, vol. 2, no. 8, Aug. 2016, pp. 1273–85, doi:10.1021/acsbiomaterials.6b00197.
Plitman Mayo, Romina, et al. “Three-Dimensional Modeling of Human Placental Terminal Villi.” Placenta, vol. 43, July 2016, pp. 54–60, doi:10.1016/j.placenta.2016.05.001.
Guyader, Christian P. E., et al. “Autonomously Folded α-Helical Lockers Promote RNAi*.” Scientific Reports, vol. 6, no. 1, Dec. 2016, p. 35012, doi:10.1038/srep35012.
Lloyd-Lewis, Bethan, et al. “Imaging the Mammary Gland and Mammary Tumours in 3D: Optical Tissue Clearing and Immunofluorescence Methods.” Breast Cancer Research, vol. 18, no. 1, Dec. 2016, p. 127, doi:10.1186/s13058-016-0754-9.
Galli, Elisa, et al. “Cell Division Licensing in the Multi-Chromosomal Vibrio Cholerae Bacterium.” Nature Microbiology, vol. 1, no. 9, Sept. 2016, p. 16094, doi:10.1038/nmicrobiol.2016.94.
Young, Laurence J., et al. “A Guide to Structured Illumination TIRF Microscopy at High Speed with Multiple Colors.” Journal of Visualized Experiments, no. 111, May 2016, doi:10.3791/53988.
Wan, Yinan, et al. “The Ciliary Marginal Zone of the Zebrafish Retina: Clonal and Time-Lapse Analysis of a Continuously Growing Tissue.” Development, vol. 143, no. 7, Apr. 2016, pp. 1099–107, doi:10.1242/dev.133314.
Esson, Diane, et al. “Genomic Variations Leading to Alterations in Cell Morphology of Campylobacter Spp.” Scientific Reports, vol. 6, no. 1, Dec. 2016, p. 38303, doi:10.1038/srep38303.
Davis, Felicity M., et al. “Single-Cell Lineage Tracing in the Mammary Gland Reveals Stochastic Clonal Dispersion of Stem/Progenitor Cell Progeny.” Nature Communications, vol. 7, no. 1, Dec. 2016, p. 13053, doi:10.1038/ncomms13053.
Bongiovanni, Marie N., et al. “Multi-Dimensional Super-Resolution Imaging Enables Surface Hydrophobicity Mapping.” Nature Communications, vol. 7, no. 1, Dec. 2016, p. 13544, doi:10.1038/ncomms13544.
Zacharioudaki, Evanthia, et al. “Genes Implicated in Stem Cell Identity and Temporal Programme Are Directly Targeted by Notch in Neuroblast Tumours.” Development, vol. 143, no. 2, Jan. 2016, pp. 219–31, doi:10.1242/dev.126326.
Ng, Julian, et al. “Genetically Targeted 3D Visualisation of Drosophila Neurons under Electron Microscopy and X-Ray Microscopy Using MiniSOG.” Scientific Reports, vol. 6, no. 1, Dec. 2016, p. 38863, doi:10.1038/srep38863.